Cliquetis / Grincements = Usure

Protégez vos dents

Le grincement ou le serrement inconscient des dents peut causer de graves dommages à vos dents et à votre articulation temporo-mandibulaire. Heureusement, il existe des solutions efficaces pour limiter les dommages et protéger vos dents :

  • Plaques de protection pour mors
  • Réparation de l'usure
  • Traitement au Botox ou physiothérapie maxillaire
Grincement et serrement des dents (bruxisme) : causes, conséquences et traitement

Le bruxisme, ou grincement et serrement des dents, est une habitude inconsciente très courante qui consiste à serrer ou à frotter vigoureusement les mâchoires. Cela peut se produire aussi bien pendant la journée que pendant la nuit et est souvent lié au stress, à l'anxiété ou à des troubles du sommeil. Beaucoup de gens ne savent pas qu'ils grincent des dents, mais les conséquences peuvent être importantes.

Les conséquences les plus visibles sont une usure importante des dents. Vos dents peuvent raccourcir, se fissurer, voire se casser. Cela peut entraîner une exposition des collets dentaires et une sensibilité dentaire.
D'autres symptômes peuvent également apparaître :
  • Maux de tête, surtout au réveil.
  • Douleurs dans les muscles de la mâchoire et dans la nuque.
  • Un craquement dans l'articulation de la mâchoire.
  • Fatigue due à un sommeil perturbé.
Traitement de l'usure et du bruxisme :
Lorsque votre dentiste constate une usure de vos dents, il ou elle établit un plan de traitement adapté à la gravité de la situation.
  • Gouttière occlusale : en cas d'usure légère à modérée, il est souvent recommandé de porter une gouttière transparente sur mesure pendant la nuit. Cette gouttière absorbe les forces exercées par le serrement ou le grincement des dents, protégeant ainsi vos dents contre une usure supplémentaire.
  • Obturations et couronnes: si une grande partie de la structure dentaire a été perdue, le dentiste peut restaurer les dents à l'aide d'obturations composites, de facettes ou de couronnes. Ces restaurations rétablissent la forme et la fonction des dents et empêchent leur dégradation supplémentaire.
  • Traiter la cause : le bruxisme étant souvent lié à des facteurs psychologiques, il est important de traiter la cause sous-jacente. Un dentiste peut vous orienter vers un kinésithérapeute maxillo-facial pour des exercices de relaxation ou, si nécessaire, vers un psychologue pour un accompagnement en cas de stress ou d'anxiété.
  • Si le muscle massétic est très dur et volumineux au toucher et que les autres méthodes ne sont pas suffisamment efficaces, un traitement au Botox du muscle massétic peut également réduire les symptômes.
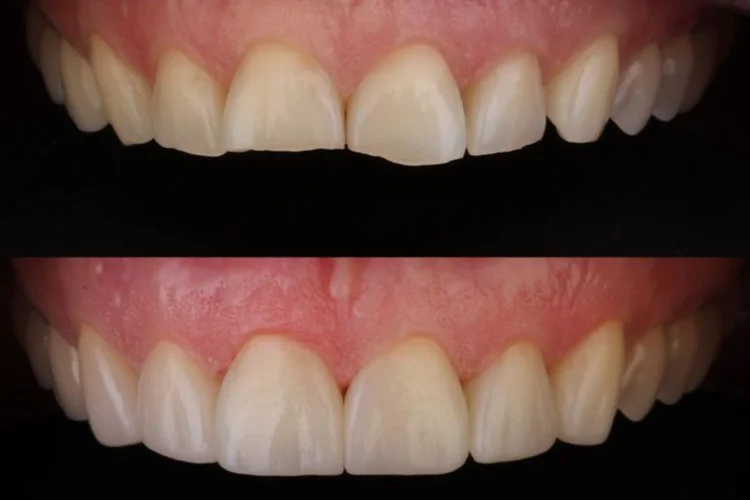
Gros plan sur l'usure dentaire des dents supérieures et inférieures restaurées à l'aide de facettes et de composite.